- Etiquetes: N-117/17
4 total
Avian (Poultry)
Avian (Poultry)
Spleen
Splenitis
Splenitis - Necrotizing
Inclusion body hepatitis
Files/Expedient: N-117/17
Position: 25 (10 views)
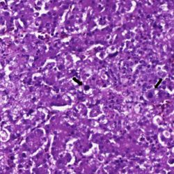
Avian (Poultry)
Avian (Poultry)
Liver
Hepatitis
Hepatitis - Necrotizing
Inclusion body hepatitis
Files/Expedient: N-117/17
Position: 25 (10 views)
Avian (Poultry)
Avian (Poultry)
Liver
Necrosis
Necrosis - Acute
Inclusion body hepatitis
Files/Expedient: N-117/17
Position: 21 (11 views)
Avian (Poultry)
Avian (Poultry)
Liver
Necrosis
-
Inclusion body hepatitis
Files/Expedient: N-117/17
Position: 10 (31 views)
