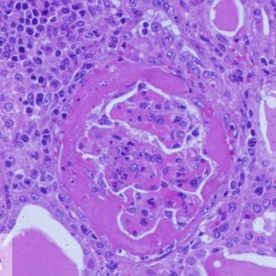
Etiquetes: B-810/96 1 total Porcine Specie: Porcine Organ: Kidney Lesion: Glomerulonephritis Lesion modifier: - Disease: Porcine dermatitis and nephropathy syndrome Files/Expedient: B-810/96 Not viewed Títol Select...Avian (Exotic) (110)Avian (Poultry) (76)Bovine (317)Canine (935)Caprine (47)Equine (257)Feline (326)Ferret (19)General (127)Marine mammal (22)Non-human primate (20)Ovine (328)Porcine (379)Rabbit (61)Reptile (38)Rodent (28)Wildlife (91) Format Select...- (60)Abomasum (37)Adrenal gland (10)Blood (7)Blood vessel (50)Body as a whole (19)Bone (57)Bone marrow (21)Brain (93)Cloaca (1)Diaphragm (2)Ear (5)Esophagus (39)Eye (16)Fetus (12)Gallbladder (23)Gizzard (2)Heart (265)Intestine (356)Joint (32)Kidney (443)Larynx (5)Liver (326)Lung (264)Lymph node (91)Mammary gland (10)Mediastinum (1)Muscle (22)Nasal cavity (22)Nerve (7)Omasum (5)Oral cavity (63)Ovary (14)Oviduct (8)Pancreas (7)Parathyroid (5)Penis (10)Peritoneum (65)Pharynx (9)Pituitary gland (6)Placenta (7)Prostate (8)Proventriculus (3)Reticulum (1)Rumen (28)Sinus (7)Skin (181)Spinal cord (15)Spleen (105)Stomach (125)Teeth (1)Testicle (11)Thoracic cavity (31)Thymus (13)Thyroid gland (5)Tongue (32)Tonsils (11)Trachea (11)Urethra (5)Urinay bladder (61)Uterus (27)Vagina (1)Vulva (1)Yolk sac (1) Cobertura Select...- (152)Abomasitis (26)Abscess (27)Acidosis (1)Adenocarcinoma (20)Adenoma (9)Aerosacculitis (6)Agenesis (1)Agnathia (1)Alopecia (7)Amyloidosis (12)Aneurysm (6)Angiectasis (1)Anthracosis (1)Arteritis (11)Arthritis (15)Arthrogryposis (6)Artifact (4)Ascites (13)Atelectasis (8)Atherosclerosis (5)Atresia (1)Atrial septal defect (2)Atrophy (10)Autolysis (7)Bronchitis (6)Bronchopneumonia (26)Cachexia (2)Carcinoma (103)Cardiomyopathy (19)Cellulitis (2)Chemodectoma (4)Cholangiohepatitis (4)Cholangitis (19)Cholecystitis (4)Cholestasis (5)Chondrodysplasia (2)Chondrosarcoma (2)Chronic passive congestion (13)Chylothorax (2)Cirrhosis (6)Coelomitis (3)Coenurus cerebralis (4)Colitis (40)Congestion (17)Conjunctivitis (5)Coronitis (3)Cryptorchidism (3)Cyst (25)Cystitis (24)Dermatitis (69)Diaphragmatic hernia (4)Dilation (28)Discospondylitis (1)Disseminated intravascular coagulation (7)Dyschondroplasia (1)Dysplasia (29)Ectopia cordis (1)Ectopic ureter (1)Edema (55)Emphysema (5)Encephalitis (5)Endocardiosis (14)Endocarditis (26)Endometritis (5)Enteritis (118)Enterolith (6)Epulis (3)Esophagitis (14)Fasciitis (1)Fibrosis (7)Fibrous osteodystrophy (8)Fistula (1)Folliculitis (3)Fracture (2)Gastritis (34)Gingivitis (5)Glioma (8)Glomerulonephritis (21)Glossitis (25)Glycogenosis (1)Gout (8)Granuloma (2)Granulosa cell tumor (4)Hemangioma (9)Hemangiosarcoma (46)Hematoma (8)Hemoglobinuria (2)Hemopericardium (12)Hemoperitoneum (2)Hemorrhage (100)Hemosiderosis (7)Hemothorax (2)Hepatitis (78)Hernia (11)Histiocytosis (3)Hydatid cyst (11)Hydrocephalus (9)Hydrometra (1)Hydronephrosis (22)Hydropericardium (6)Hydrothorax (3)Hydroureter (5)Hyperkeratosis (8)Hyperostosis (4)Hyperplasia (37)Hypertrophy (9)Hypopigmentation (1)Hypoplasia (7)Hypopyon (1)Impaction (6)Infarction (63)Insulinoma (6)Intussusception (5)Jaundice (17)Laminitis (2)Laryngitis (2)Leiomyoma (5)Leukemia (13)Lipidosis (36)Lipoma (7)Lymphadenitis (45)Lymphadenopathy (7)Lymphangiectasia (6)Lymphangitis (5)Lymphoma (221)Malacia (11)Malignant melanoma (15)Mast cell tumor (11)Mastitis (8)Megaesophagus (2)Melanosis (3)Melena (4)Meningioma (6)Meningitis (6)Meningocele (2)Meningoencephalitis (5)Mesothelioma (5)Methemoglobinemia (2)Mineralization (10)Mucocele (5)Mucometra (1)Multilobular bone tumor (1)Mummification (3)Myelofibrosis (1)Myocarditis (4)Myositis (5)Necrosis (81)Nephritis (113)Nephroblastoma (6)Nephrosclerosis (1)Nephrosis (14)Neuritis (1)Obstruction (13)Omasitis (4)Omphalitis (1)Omphalophlebitis (7)Orchitis (4)Osteoarthrosis (5)Osteomyelitis (9)Otitis (2)Palatoschisis (3)Pancreatitis (3)Panniculitis (3)Papilloma (7)Parakeratosis (14)Patent ductus arteriosus (6)Peliosis hepatis (1)Perforation (17)Pericarditis (35)Peritonitis (39)Persistent right aortic arch (1)Pharyngitis (2)Pheochromocytoma (2)Phlebitis (2)Placentitis (6)Pleuritis (21)Pleuropneumonia (24)Pneumonia (109)Pneumothorax (3)Polycystosis (14)Polyp (5)Polyserositis (6)Posthitis (1)Proctitis (4)Prolapse (3)Prostatitis (3)Proventriculitis (1)Pyelonephritis (24)Pyometra (6)Pyothorax (4)Rhinitis (11)Rumenitis (6)Rupture (24)Salpingitis (3)Sarcoma (57)Sclerosis (1)Scoliosis (2)Seminoma (2)Sequestrum (2)Serous atrophy (14)Sinusitis (7)Splenitis (14)Splenomegaly (9)Spondylitis (6)Spondylosis (1)Stenosis (9)Stomatitis (32)Tenosynovitis (2)Teratoma (3)Thricobezoar (2)Thrombosis (16)Tonsilitis (4)Torsion (13)Tracheitis (4)Tympany (7)Typhlitis (8)Typhlocolitis (4)Ulcer (43)Urethritis (1)Urolithiasis (36)Uroperitoneum (1)Uveitis (1)Vasculitis (15)Ventricular septal defect (3)Volvulus (11) Matèria Select... - (14)- (1653)- (152)Abomasitis - Catarrhal (2)Abomasitis - Catarrhal-hemorrhagic (1)Abomasitis - Chronic (1)Abomasitis - Fibrinous-necrotizing (2)Abomasitis - Hyperplasic (5)Abomasitis - Hyperplasic - Chronic (1)Abomasitis - Necrotic (1)Abomasitis - Necrotizing (2)Abomasitis - Ulcerative (5)Adenocarcinoma (9)Aerosacculitis - Granulomatous (1)Amyloidosis - Chronic (1)Arteritis - Necrotic (2)Arteritis - Necrotizing (1)Arthritis - Chronic (4)Arthritis - Fibrinous-purulent (3)Arthritis - Serous (4)Arthritis - Subacute (1)Ascites - Serous (1)Atrophy - Serous (1)Bronchitis - Catarrhal (3)Bronchitis - Suppurative (1)Bronchopneumonia - Catarrhal-purulent (17)Bronchopneumonia - Fibrinous (1)Bronchopneumonia - Granulomatous (1)Bronchopneumonia - Purulent (1)Bronchopneumonia - Suppurative (5)Carcinoma - Adenocarcinoma (33)Carcinoma - Adenocarcinoma - Hepatocellular (2)Carcinoma - Adenocarcinoma - Mucinous (1)Carcinoma - Basosquamous (1)Carcinoma - Cholangiocellular (3)Carcinoma - Hepatocellular (4)Carcinoma - Metastatic (3)Carcinoma - Squamous cell carcinoma (13)Carcinoma - Transitional cell (2)Cardiomyopathy - Dilated (13)Cardiomyopathy - Hypertrophic (6)Cellulitis - Necrotizing (1)Cholangitis - Chronic (8)Cholangitis - Hyperplasic (3)Cholecystitis - Fibrinous-necrotizing (1)Coelomitis - Fibrinous (1)Coelomitis - Granulomatous (1)Colitis - Catarrhal (3)Colitis - Catarrhal-hemorrhagic (1)Colitis - Fibrinous (1)Colitis - Fibrinous-necrotizing (1)Colitis - Fibrinous-necrotizing (Diphtheritic) (6)Colitis - Granulomatous (2)Colitis - Hemorrhagic (4)Colitis - Hemorrhagic-necrotizing (3)Colitis - Necrotizing (2)Colitis - Ulcerative (6)Congestion - Chronic (2)Conjunctivitis - Hyperplasic (1)Conjunctivitis - Purulent (3)Coronitis - Ulcerative (1)Cystitis - Chronic (3)Cystitis - Fibrinous (1)Cystitis - Fibrinous-necrotizing (1)Cystitis - Follicular (1)Cystitis - Hemorrhagic (6)Cystitis - Hemorrhagic-ulcerative (1)Cystitis - Necrotizing (9)Cystitis - Perforated (1)Dermatitis - Granulomatous (14)Dermatitis - Hyperkeratotic (10)Dermatitis - Hyperplasic (proliferative) (1)Dermatitis - Hyperplastic (10)Dermatitis - Necrotizing (4)Dermatitis - Pustular (4)Dermatitis - Ulcerative (2)Dilation - Chronic (1)Discospondylitis - Necrotizing (1)Dysplasia - Follicular (5)Edema - Interstitial (6)Emphysema - Interstitial (1)Encephalitis - Granulomatous (1)Encephalitis - Nonsuppurative (1)Endocardiosis - Mitral (7)Endocardiosis - Mitral - Chronic (5)Endocarditis - Valvular (6)Endocarditis - Valvular - Mitral (7)Endocarditis - Valvular - Pulmonic (1)Endocarditis - Valvular - Subacute (1)Endocarditis - Valvular - Subaortic (5)Endocarditis - Valvular - Tricuspid (4)Endometritis - Purulent (3)Endometritis - Purulent-hemorrhagic (2)Enteritis - Catarrhal (23)Enteritis - Catarrhal - Acute (1)Enteritis - Catarrhal-hemorrhagic (5)Enteritis - Catarrhal-hemorrhagic - Acute (2)Enteritis - Fibrinous (16)Enteritis - Fibrinous - Acute (3)Enteritis - Fibrinous-necrotizing (7)Enteritis - Granulomatous (14)Enteritis - Granulomatous - Chronic (1)Enteritis - Granulomatous - Multifocal (1)Enteritis - Hemorrhagic (17)Enteritis - Hemorrhagic - Acute (1)Enteritis - Hemorrhagic-necrotizing (1)Enteritis - Hyperplasic (proliferative) (4)Enteritis - Necrotizing (4)Enteritis - Necrotizing - Acute (1)Enteritis - Necrotizing - Hemorrhagic (1)Enteritis - Necrotizing-ulcerative (2)Enteritis - Ulcerative (1)Enteritis - Ulcerative-hemorrhagic (1)Esophagitis - Erosive-ulcerative (6)Esophagitis - Necrotizing (4)Esophagitis - Ulcerative (1)Esophagitis - Ulcerative-necrotizing (1)Fasciitis - Fibrinous-purulent (1)Folliculitis - Purulent (2)Gastritis - Catarrhal (2)Gastritis - Chronic (1)Gastritis - Follicular (1)Gastritis - Hemorrhagic (2)Gastritis - Hemorrhagic-necrotizing (1)Gastritis - Hypertrophic (2)Gastritis - Inclusion bodies (1)Gastritis - Mineralization (1)Gastritis - Mycotic (1)Gastritis - Necrotizing (2)Gastritis - Ulcerative (6)Gastritis - Uremic (3)Gingivitis - Erosive (2)Gingivitis - Hyperplasic (proliferative) (1)Gingivitis - Necrotizing (1)Glomerulonephritis - Chronic (7)Glomerulonephritis - Membranoproliferative (3)Glomerulonephritis - Membranoproliferative - Chronic (1)Glomerulonephritis - Membranous (3)Glomerulonephritis - Membranous - Chronic (1)Glomerulonephritis - Proliferative (2)Glomerulonephritis - Subacute (1)Glossitis - Erosive (2)Glossitis - Granulomatous (6)Glossitis - Hyperplasic (1)Glossitis - Hyperplasic (proliferative) (2)Glossitis - Hyperplastic (1)Glossitis - Necrotizing (2)Glossitis - Necrotizing - Focal (1)Glossitis - Ulcerative (6)Glossitis - Ulcerative - Multifocal (1)Glossitis - Ulcerative - Subacute (1)Glycogenosis (1)Granuloma - Eosinophilic (1)Hemangiosarcoma - Metastatic (2)Hemorrhage - Acute (1)Hemorrhage - Subcapsular (3)Hepatitis - Abscess (9)Hepatitis - Acute (3)Hepatitis - Chronic (4)Hepatitis - Chronic interstitial (6)Hepatitis - Granulomatous (7)Hepatitis - Interstitial - Multifocal (1)Hepatitis - Interstitial - Subacute (1)Hepatitis - Necrotizing (17)Hepatitis - Necrotizing - Acute (2)Hepatitis - Necrotizing - Hemorrhagic (1)Hepatitis - Necrotizing - Subacute (1)Hepatitis - Pyogranulomatous (7)Hepatitis - Subacute (4)Hydronephrosis - Chronic (1)Hydropericardium - Chronic (1)Hyperplasia - Erythroid (1)Hyperplasia - Lymphoid (3)Hyperplasia - Myeloid (1)Hyperplasia - Nodular (8)Hypertrophy - Concentric (2)Hypertrophy - Eccentric (3)Infarction - Acute (17)Infarction - Acute - Multifocal (2)Infarction - Chronic (5)Infarction - Chronic - Multifocal (1)Infarction - Subacute (18)Infarction - Subacute - Focal (2)Laminitis - Chronic (2)Laryngitis - Necrotic (1)Laryngitis - Necrotizing (1)Leukemia - Lymphoid leukemia (2)Leukemia - Non-lymphoid leukemia (6)Lipidosis - Multifocal (1)Lipidosis - Panlobular (1)Lipidosis - Panlobular - Generalized (2)Lymphadenitis - Granulomatous (24)Lymphadenitis - Granulomatous - Chronic (3)Lymphadenitis - Hemorrhagic (1)Lymphadenitis - Necrotizing (5)Lymphadenitis - Necrotizing (caseous) (11)Lymphangitis - Granulomatous (1)Lymphangitis - Purulent (1)Lymphangitis - Ulcerative (1)Lymphoma - Alimentary lymphoma (7)Lymphoma - Cutaneous lymphoma (6)Lymphoma - Lymphosarcoma (2)Lymphoma - Mediastinal lymphoma (1)Lymphoma - Multicentric lymphoma (29)Malignant melanoma - Malignant (1)Malignant melanoma - Metastatic (1)Mast cell tumor - Metastatic (1)Mastitis - Fibrinous-purulent (2)Mastitis - Necrotic (1)Mastitis - Purulent (3)Mastitis - Suppurative (1)Meningitis - Fibrinous-purulent (2)Meningitis - Purulent (4)Meningoencephalitis - Necrotizing (3)Meningoencephalitis - Nonsuppurative (2)Mineralization - Metastatic (4)Myocarditis - Fibrous - Chronic (1)Myocarditis - Granulomatous (1)Myositis - Purulent (2)Necrosis - Acute (1)Necrosis - Cortical (5)Necrosis - Follicular (1)Necrosis - Papillary (8)Necrosis - Papillary - Acute (3)Necrosis - Subacute (3)Necrosis - Tubular (6)Nephritis - Embolic (2)Nephritis - Embolic suppurative (7)Nephritis - Granulomatous (27)Nephritis - Granulomatous - Chronic (1)Nephritis - Granulomatous - Multifocal (1)Nephritis - Interstitial (6)Nephritis - Interstitial - Acute (4)Nephritis - Interstitial - Chronic (41)Nephritis - Interstitial - Subacute (12)Nephritis - Purulent (7)Nephritis - Purulent - Acute (2)Nephritis - Purulent - Multifocal (3)Nephrosis - Cholemic (3)Nephrosis - Hemoglobinuric (10)Omasitis - Fibrinous-necrotizing (1)Omasitis - Hyperkeratotic (1)Omasitis - Necrotizing (2)Omphalophlebitis - Fibrinous-purulent (2)Omphalophlebitis - Purulent (3)Orchitis - Necrotizing (1)Osteomyelitis - Necrotizing (7)Osteomyelitis - Purulent (2)Otitis - Necrotizing (1)Otitis - Proliferative (1)Pancreatitis - Acute (1)Pancreatitis - Chronic (1)Pancreatitis - Granulomatous (1)Panniculitis - Fibrinous-purulent (1)Panniculitis - Necrotic (1)Panniculitis - Parasitic (1)Perforation - Acute (2)Pericarditis - Fibrinous (19)Pericarditis - Fibrinous - Subacute (1)Pericarditis - Fibrinous-necrotizing (1)Pericarditis - Fibrinous-purulent (3)Pericarditis - Fibrous (1)Pericarditis - Fibrous - Chronic (1)Pericarditis - Gangrenous (6)Pericarditis - Granulomatous (1)Pericarditis - Granulomatous - Chronic (2)Peritonitis - Acute (1)Peritonitis - Fibrinous (11)Peritonitis - Fibrinous - Subacute (1)Peritonitis - Fibrinous-purulent (5)Peritonitis - Fibrous (3)Peritonitis - Granulomatous (6)Peritonitis - Purulent (1)Peritonitis - Purulent-hemorrhagic (1)Peritonitis - Pyogranulomatous (3)Pharyngitis - Fibrinous-necrotizing (1)Pharyngitis - Ulcerative (1)Pheochromocytoma - Metastatic (1)Phlebitis - Purulent (1)Placentitis - Fibrinous-necrotizing (1)Placentitis - Necrotic (1)Placentitis - Necrotizing (1)Pleuritis - Chronic (1)Pleuritis - Fibrinous (3)Pleuritis - Fibrinous-purulent (2)Pleuritis - Fibrous (2)Pleuritis - Granulomatous (3)Pleuritis - Hyperplastic (2)Pleuritis - Purulent (2)Pleuritis - Pyogranulomatous (1)Pleuropneumonia - Fibrinous (13)Pleuropneumonia - Fibrinous-necrotizing (5)Pleuropneumonia - Granulomatous (2)Pleuropneumonia - Hemorrhagic-necrotizing (4)Pneumonia - Aspiration (11)Pneumonia - Bronchointerstitial (4)Pneumonia - Bronchointerstitial - Subacute (1)Pneumonia - Embolic (5)Pneumonia - Granulomatous (37)Pneumonia - Granulomatous - Multifocal (4)Pneumonia - Hemorrhagic-necrotizing (2)Pneumonia - Interstitial (7)Pneumonia - Interstitial - Acute (8)Pneumonia - Interstitial - Chronic (6)Pneumonia - Interstitial - Subacute (15)Pneumonia - Necrotizing (2)Pneumonia - Pyogranulomatous (2)Pneumonia - Verminous (5)Polyserositis - Fibrinous (6)Polyserositis - Fibrous (1)Proctitis - Fibrinous-necrotizing (1)Proctitis - Parasitic (2)Prostatitis - Purulent (1)Pyelonephritis - Acute (2)Pyelonephritis - Chronic (3)Rhinitis - Catarrhal (2)Rhinitis - Fibrinous (1)Rhinitis - Granulomatous (4)Rhinitis - Purulent (3)Rumenitis - Acute (1)Rumenitis - Erosive (1)Rumenitis - Necrotizing (1)Rupture - Acute (3)Sarcoma - Fibrosarcoma (12)Sarcoma - Hemangiosarcoma (11)Sarcoma - Histiocytic (7)Sarcoma - Metastatic (1)Sarcoma - Multilobular tumor of bone (1)Sequestrum - Chronic (2)Sinusitis - Suppurative (1)Splenitis - Granulomatous (8)Splenitis - Granulomatous - Chronic (1)Splenitis - Necrotizing (3)Splenitis - Necrotizing (caseous) (2)Spondylitis - Necrotizing (2)Stenosis - Intestinal (1)Stenosis - Valvular - Subaortic (4)Stomatitis - Erosive (12)Stomatitis - Erosive-ulcerative (3)Stomatitis - Fibrinous-necrotizing (1)Stomatitis - Fibrinous-necrotizing (Diphtheritic) (1)Stomatitis - Granulomatous (1)Stomatitis - Hyperplasic (1)Stomatitis - Hyperplasic (proliferative) (1)Stomatitis - Necrotizing (2)Stomatitis - Ulcerative (5)Stomatitis - Ulcerative - Multifocal (1)Stomatitis - Ulcerative-necrotizing (1)Tonsilitis - Necrotizing (4)Torsion - Acute passive hyperemia (5)Tracheitis - Catarrhal (3)Tracheitis - Fibrinous (1)Tracheitis - Granulomatous (1)Typhlitis - Catarrhal (1)Typhlitis - Fibrinous-necrotizing (2)Typhlitis - Hemorrhagic (2)Typhlitis - Ulcerative-hemorrhagic (1)Typhlocolitis - Fibrinous-necrotizing (2)Typhlocolitis - Proliferative (1)Ulcer - Chronic (6)Ulcer - Multifocal (2)Ulcer - Mycotic (1)Ulcer - Perforated (6)Urethritis - Hemorrhagic (1)Urolithiasis - Chronic (2)Uveitis - Granulomatous (1)Vasculitis - Granulomatous (1)Vasculitis - Necrotizing (1) Editor Select...- (1970)Acidosis (2)Actinobacillosis (Pleuropneumonia) (11)Aelurostrongylosis (2)African horse sickness (13)African swine fever (14)Alopecia X (1)Anaplasmosis (4)Anthrax (2)Aortic thromboembolism (feline) (7)Ascariasis (15)Aspergillosis (18)Atopic dermatitis (1)Atrophic rhinitis (3)Babesiosis (6)Blackhead (1)Bluetongue (11)Border disease (2)Bovine viral diarrhea (21)Brucellosis (2)Candidiasis (5)Canine distemper (14)Caprine arthritis-encephalitis (2)Capture myopathy (1)Cardiac insufficiency (17)Caseous lymphadenitis (7)Chlamydiosis (2)Classical swine fever (19)Clostridiosis (19)Coccidiosis (9)Coenurosis (4)Colibacillosis (21)Contagious ecthyma (7)Copper toxicosis (11)Cowdriosis (Heartwater) (3)Cryptococcosis (3)Cryptosporidiosis (2)Cysticercosis (23)Demodicosis (1)Diabetes (1)Dicrocoeliosis (5)Dictyocaulosis (4)Dirofilariasis (7)Discoid lupus erythematosus (3)Echinococcosis (17)Edema disease (7)Egg drop syndrome (1)Encephalitozoonosis (5)Enterotoxemia (1)Enzootic bovine leukosis (46)Epitheliogenesis imperfecta (3)Equine rhinopneumonitis (2)Equine verminous arteritis (strongylosis) (7)Erysipelas (5)Exudative epidermitis (7)Fasciolasis (11)Feline eosinophilic dermatoses (1)Feline hepatic lipidosis (8)Feline histiocytosis (4)Feline infectious peritonitis (38)Feline leukemia (4)Feline lower urinary tract disease (3)Feline panleukopenia (16)Feline viral rhinotracheitis (1)Flea allergy dermatitis (1)Foot and mouth disease (2)Gasterophilosis (4)Glasser's disease (15)Gousiekte (4)Gout (6)Haemonchosis (9)Hemolytic anemia (4)Hemorrhagic diathesis (1)Hepatic insufficiency (11)Hepatosis dietetica (7)Herpesvirosis (6)Hyperadrenocorticism (7)Hyperparathyroidism (10)Hypertrophic osteopathy (6)Hypervitaminosis D (1)Hypodermosis (1)Inclusion body hepatitis (4)Infectious bovine rhinotracheitis (5)Infectious bronchitis (5)Infectious canine hepatitis (13)Influenza (4)Juvenile nephropathy (8)Lamb dysentery (4)Leishmaniasis (28)Leptospirosis (1)Leukosis (5)Listeriosis (4)Lumpy skin disease (3)Maedi-visna (4)Malignant catarrhal fever (12)Mange (6)Mannheimiosis (5)Marek's disease (7)Metabolic bone disease (2)Mucoid enteropathy (5)Mulberry heart disease (5)Myasis (1)Mycobacteriosis (22)Mycosis fungoides (6)Myxomatosis (3)Necrobacillosis (5)Neonatal isoerythrolysis (6)Nocardiosis (4)Oestrosis (2)Onchocerciasis (1)Osteochondrosis (1)Ostertagiosis (6)Ovine pulmonary adenocarcinoma (5)Oxyuriasis (1)Pacheco's disease (4)Papillomatosis (6)Paratuberculosis (18)Parvovirosis (17)Pasteurellosis (11)Pemphigus foliaceus (1)Periodontal disease (1)Polioencephalomalacia of ruminants (4)Polyarteritis nodosa (3)Polycystic kidney disease (13)Porcine circovirosis (11)Porcine dermatitis and nephropathy syndrome (9)Porcine proliferative enteropathy (4)Porcine reproductive and respiratory syndrome (6)Porcine stress syndrome (1)Pox (13)Pregnancy toxemia (3)Proventricular dilatation disease (2)Pseudotuberculosis (yersiniosis) (2)Psittacine beak and feather disease (PBFD) (5)Pyoderma (4)Q fever (4)Rabbit hemorrhagic disease (2)Renal insufficiency (12)Reticuloendotheliosis (2)Rhodococcosis (1)Rickets (1)Rinderpest (2)Salmonellosis (34)Sarcosporidiosis (2)Schmallenberg (7)Septicemia (23)Spirocercosis (11)Streptococcosis (5)Strongylosis (1)Swine dysentery (5)Systemic coronavirosis (5)Tetralogy of Fallot (5)Theileriosis (13)Thromboembolism (5)Toxoplasmosis (11)Transmissible viral proventriculitis (1)Traumatic reticuloperitonitis (3)Traumatism (16)Tuberculosis (58)Ulcerative lymphangitis (1)Uremic syndrome (20)Viral arthritis (6)White muscle disease (9)Wobbler syndrome (2)Xanthomatosis (1)Zygomycosis (4) Idioma Select...- (1180)Bacterial (501)Degeneration (106)Fungal (46)Hemodynamic (112)Idiopathic (22)Inflammation (58)Malformation (88)Neoplasia (343)Nutritional (41)Parasitic (243)Physical/Chemical (93)Toxic (44)Viral (304) Ítem destacat Bovine Anaplasma marginale (extravascular haemolytic anemia). Blood smear abtained postmortem from cut ear capillaries.University of Pretoria, South Africa